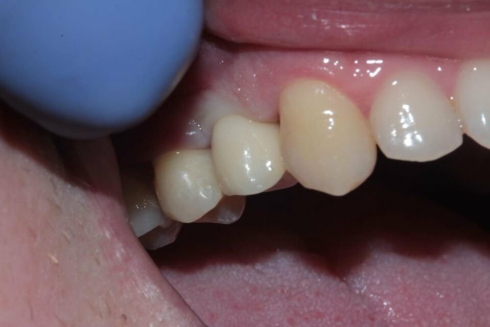
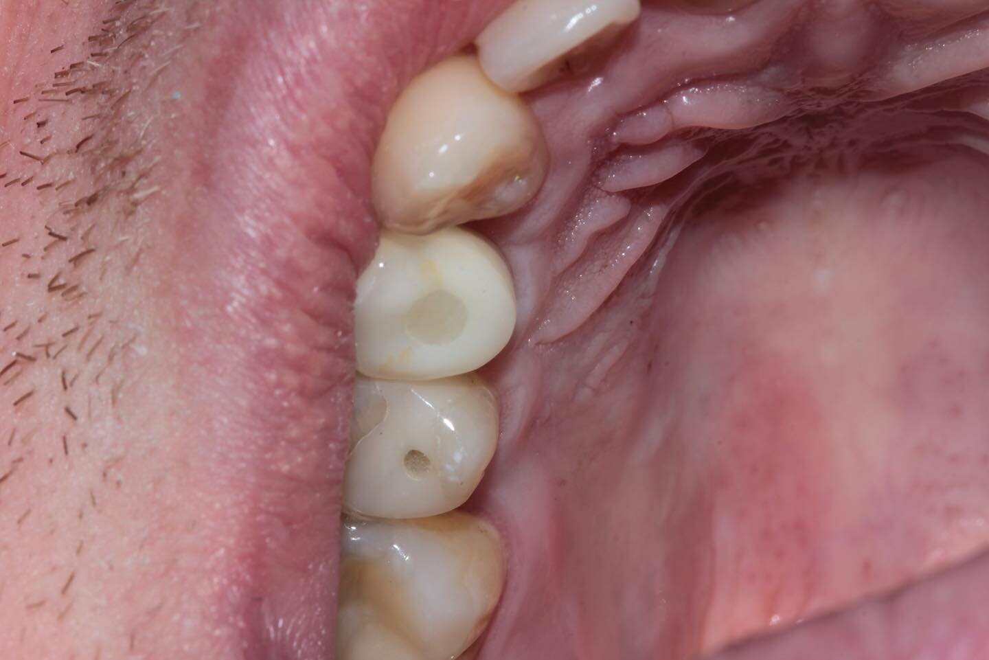
Импланты
Отсутствие даже одного зуба в линии улыбки может стать большой эстетической и функциональной проблемой для человека. Но современная стоматология и @dr.logvinov могут справиться со всем! Больше нет надобности устанавливать мост и обтачивать соседние, здоровые зубы! Имплантат функционирует как отдельно стоящий зуб.








