Восстановление анатомической формы
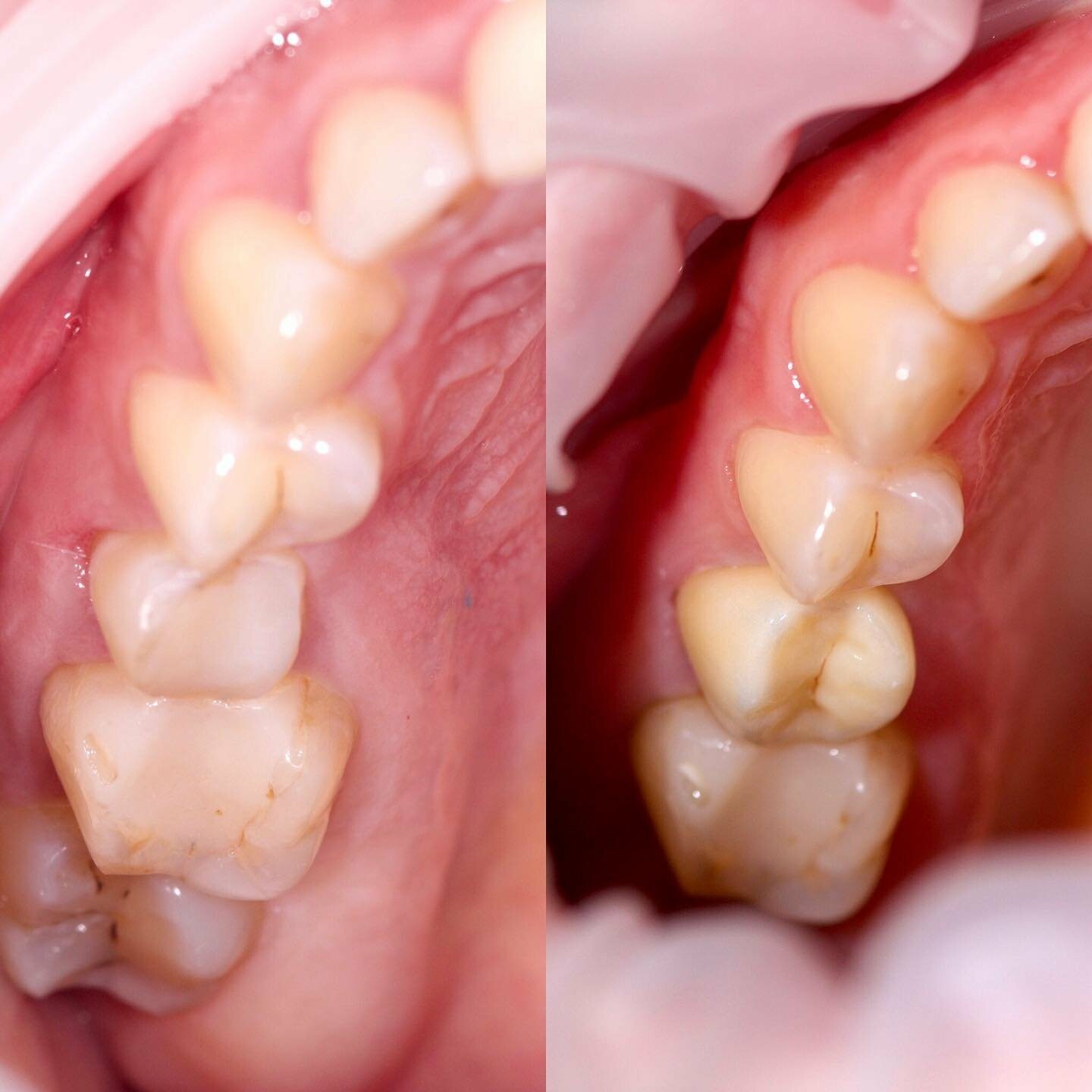
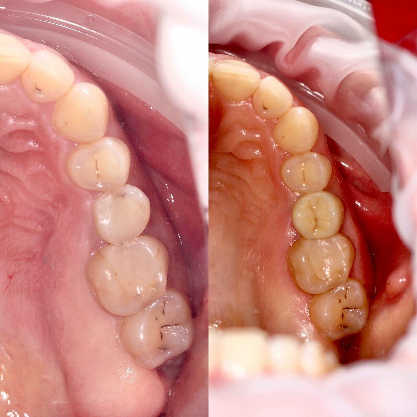
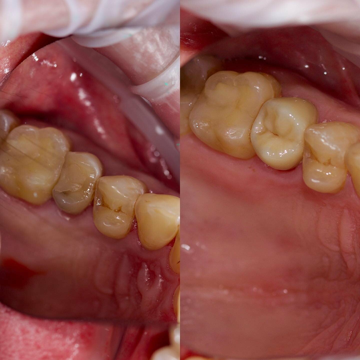
Каждый зуб нуждается в восстановлении анатомической формы! Для пациента разница между простой пломбой и непрямой реставрацией (коронкой) очевидна не только эстетически но и функционально. Доктор @ketrynnovikova





Каждый зуб нуждается в восстановлении анатомической формы! Для пациента разница между простой пломбой и непрямой реставрацией (коронкой) очевидна не только эстетически но и функционально. Доктор @ketrynnovikova




