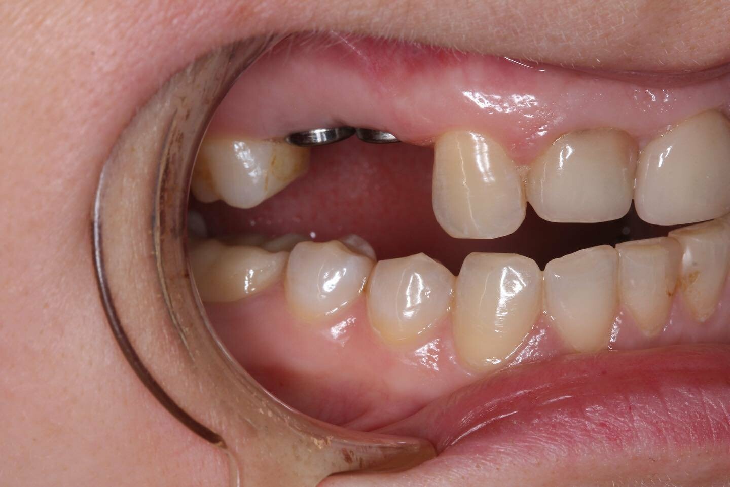
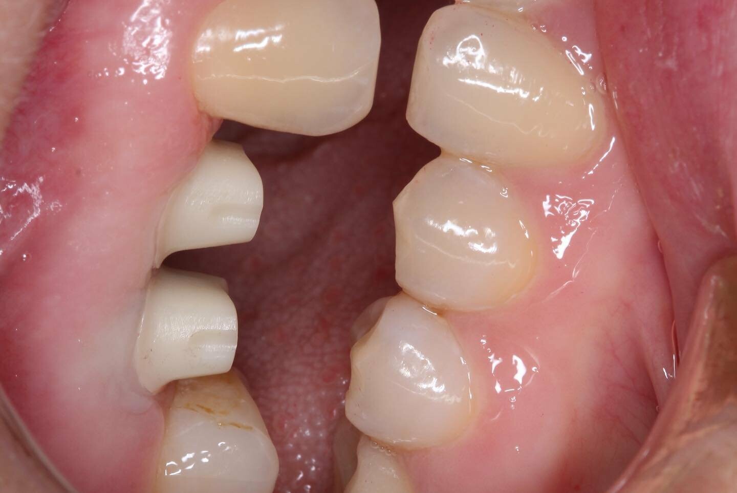
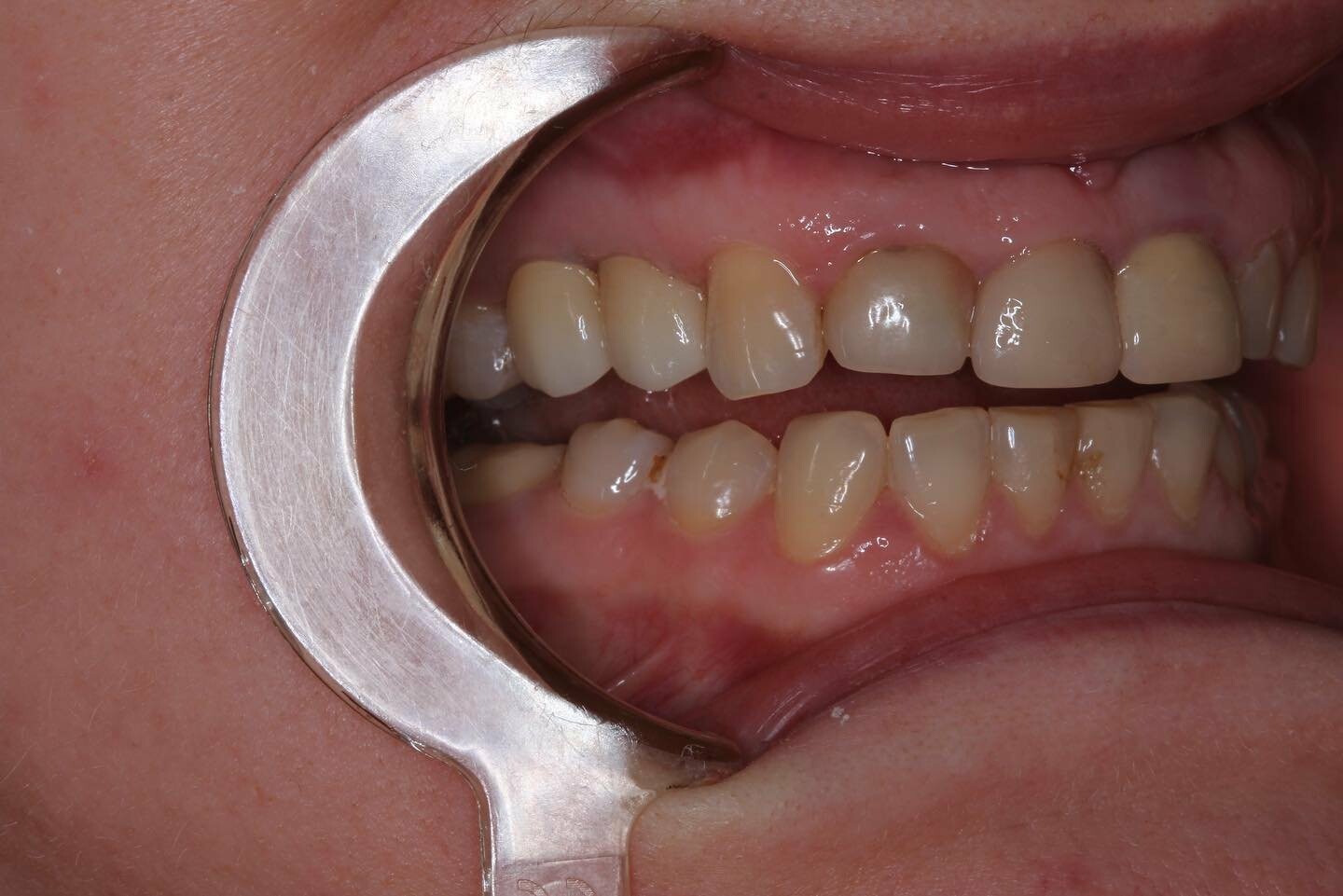
Утрата зубов
Утрата даже 2-х зубов является серьезно проблемной для все челюстно-лицевого аппарата, которая может повлечь за собой массу других неприятностей.
- нарушение функции (откусывание и пережевывание пищи)
- нарушение эстетики
- феномен Попова-Годона ( деформация зубного ряда в виде патологического перемещения зубов из-за отказа протезирования отсутствующего зуба (зубов))
Всего этого можно избежать прибегнув к своевременной имплантации!
Доктор @dr.logvinov







