Фронтальные зубы
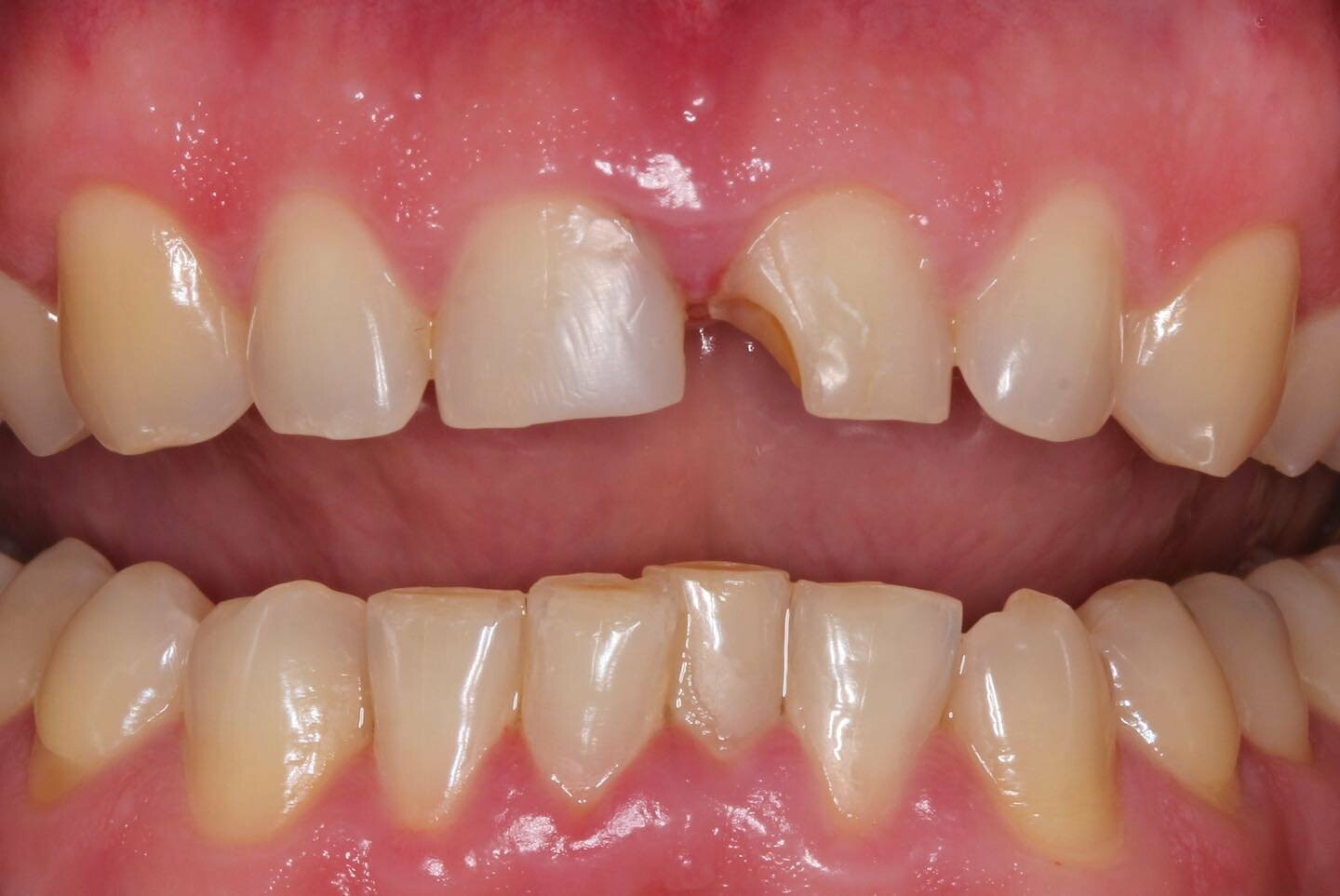
Фронтальные зубы как никогда важны для пациента! Конечно работа с передними зубами сложна и кропотлива! Требует особой тактики ведения. @dr.logvinov прекрасно справился с поставленной задачей и выполнил все эстетические требования пациента








