Временные конструкции
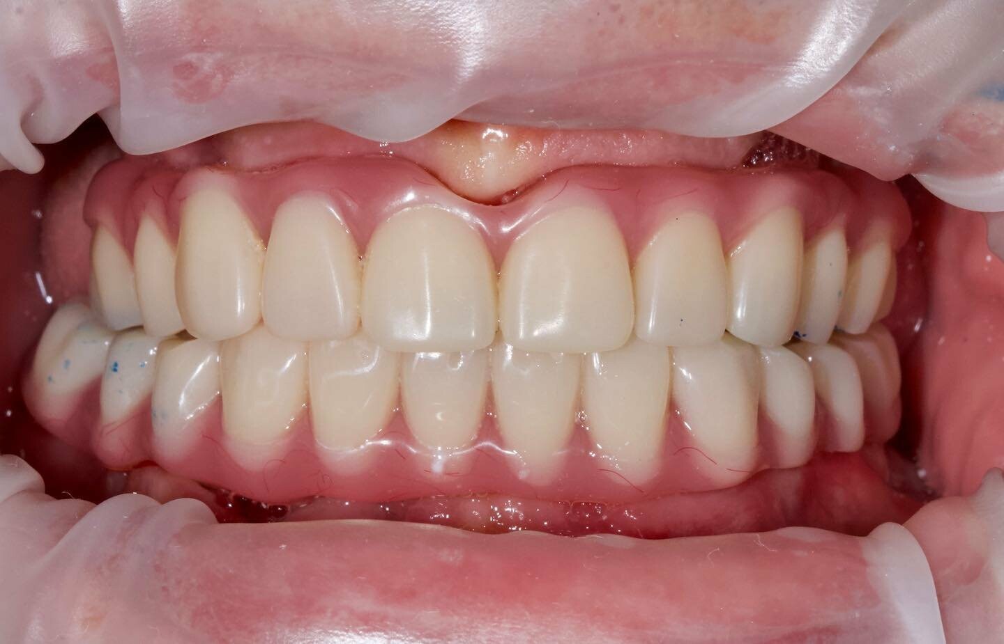
Временные конструкции пациента с генерализованный пародонтитом с применением методики All-on-4 (все на 4-х)
Врач @motordantist




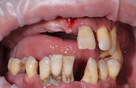
Временные конструкции пациента с генерализованный пародонтитом с применением методики All-on-4 (все на 4-х)
Врач @motordantist



