Состояние дёсен
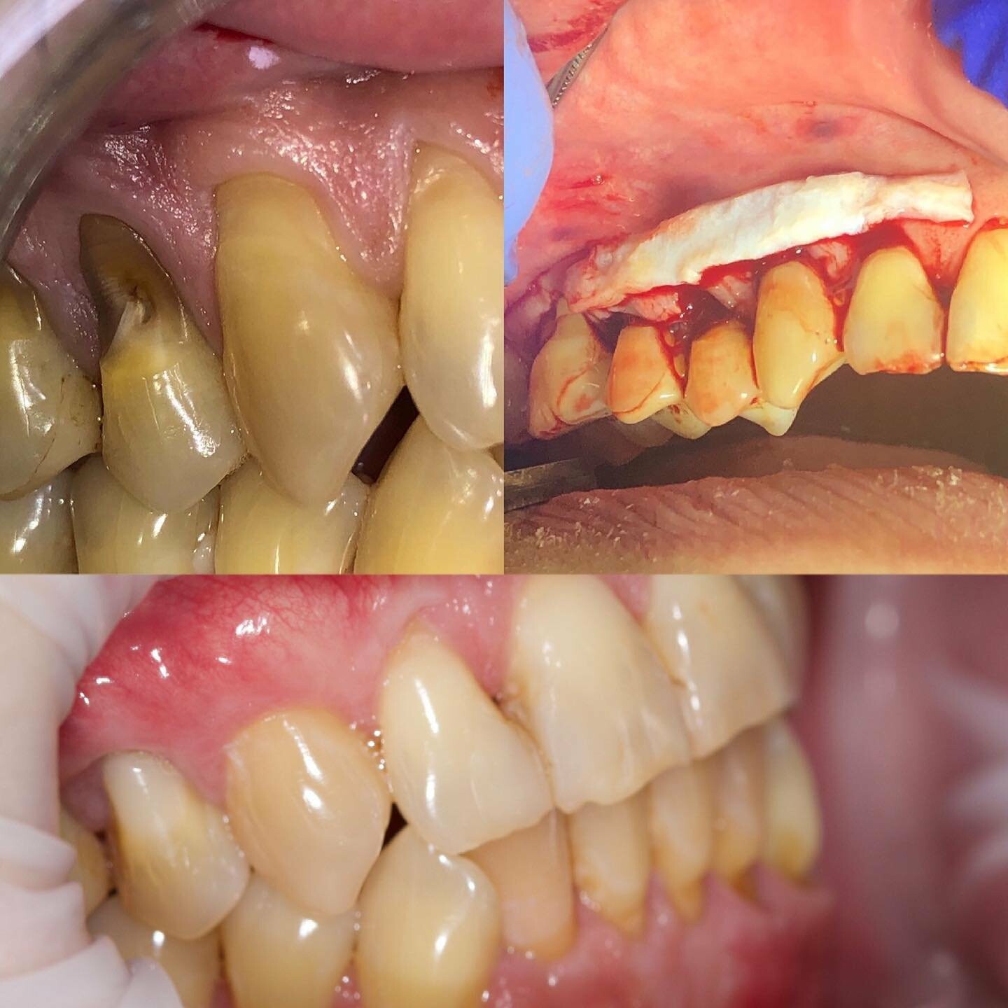
Состояние десны, уровень ее прикрепления — важная составляющая красивой улыбки. Опущение, при котором оголяются корни зубов, стоматологи называют рецессией десны. Это не только некрасиво, но и опасно. Заболевание, оставленное без внимания, может привести к расшатыванию зубов и их потере. Врачи стоматологической клиники Ренессанс составят индивидуальный план лечения и восстановят красоту вашей улыбки. В данном случае @motordantist была проведено закрытие рецессий с последующей реставрацией. Здоровыми должны быть и зубы, и десны.



