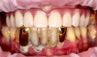
Подвижность зубов
У пациента была сильно выражена подвижность зубов.
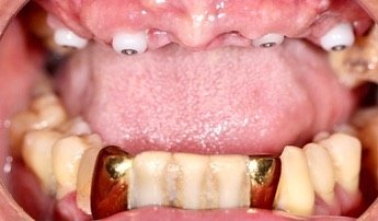
@motordantist совместно с пациентом принял решение одномоментно удалить зубы и установить имплантаты. Затем, в это же посещение произвели снятие оттисков и уже через 4-5 дней были зафиксированы временные конструкции!






