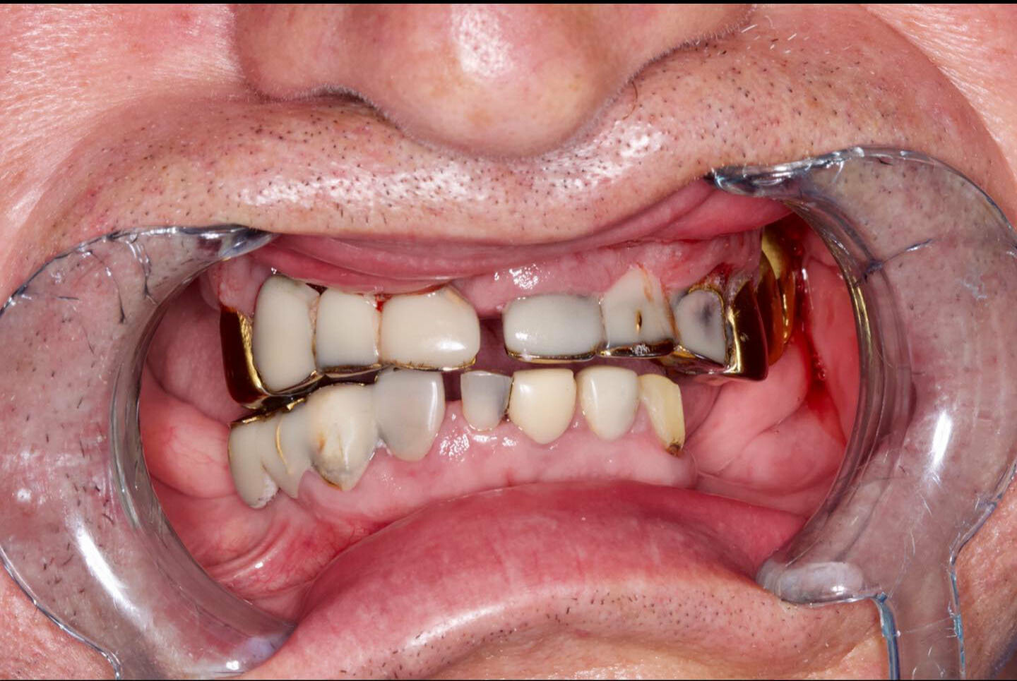
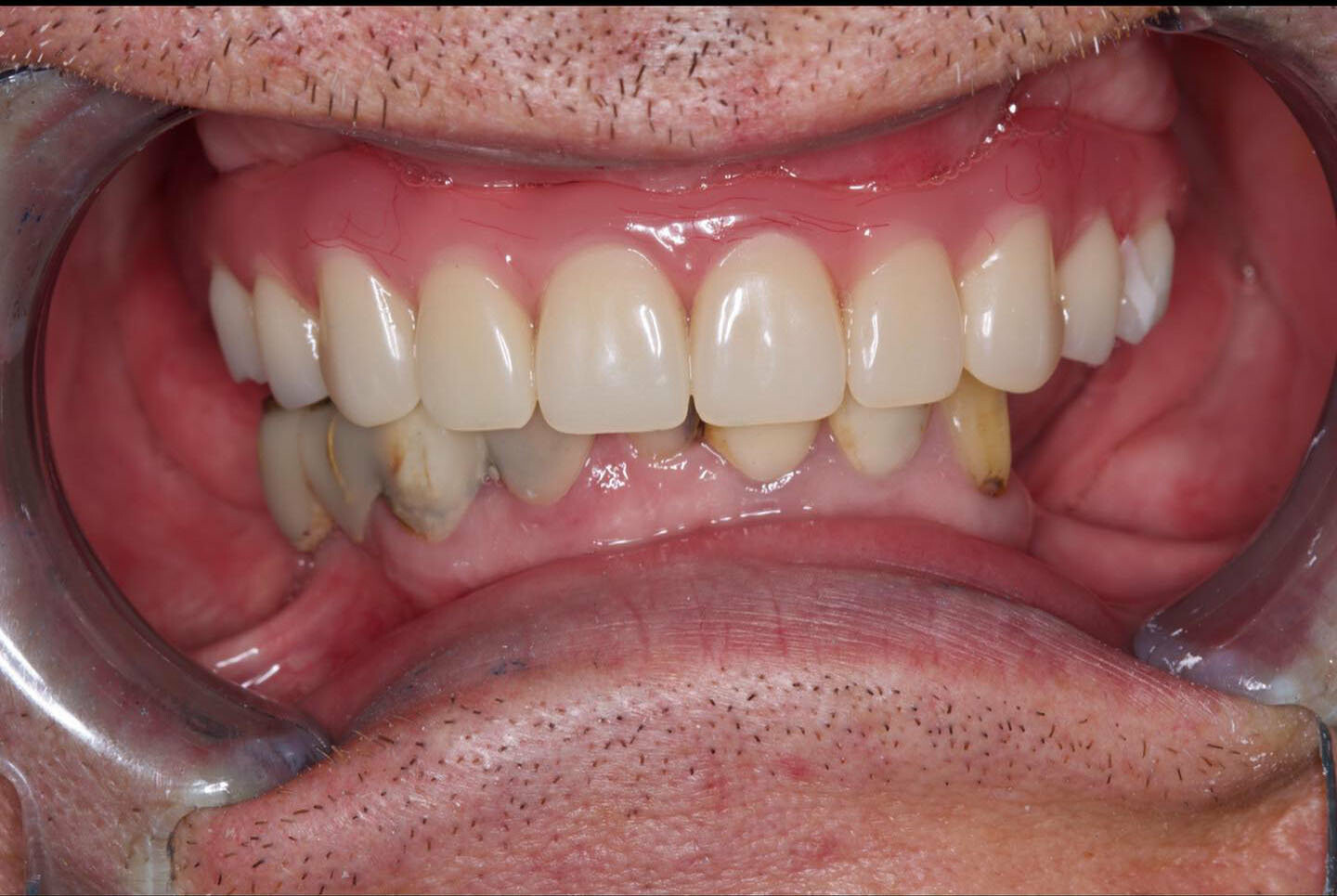
Все на 4х имплантах
![]() |
All-on-4 («все на четырех») - прогрессивный протокол имплантации челюсти на 4 имплантах, применяющийся для протезирования зубного ряда при его значительных дефектах (когда утрачено множество зубов) или в случае полной адентии. Начало методике было положено более 20 лет назад, когда первые попытки португальского врача П. Мало в данном направлении увенчались успехом. В имплантации All on 4 непревзойденный комфорт для пациента дополняется другим, не менее значимым аспектом – доступной стоимостью протезирования. |
![]() |
![]() |





