Красивые зубы за 2 часа – это реально!
Красивые зубы за 2 часа – это реально!
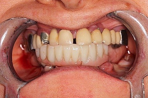
Раньше, буквально несколько лет назад решить такого рода проблему было практически невозможно, но на сегодняшний день с помощью новейших прогрессивных технологий – это возможно!
В стоматологической клинике «Renessans» вы сможете получить полный спектр стоматологических услуг.
За красивой улыбкой приходите по адресу: г. Краматорск, ул. Дворцовая, 40А.
Телефон для записи на консультацию +380(95)534-45-30
![]() |
![]() |
![]() |
![]() |






