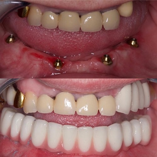
Плюс два счастливых пациента на нашем счету!
Плюс два счастливых пациента на нашем счету!
Стоматологическая клиника «Renessans» - возродим утраченное.
Наш адрес: Краматорск, ул. Дворцовой, 40-А,тел: +380(95)534-45-30, наш сайт : https://renessans.net.ua/
![]() |
![]() |




