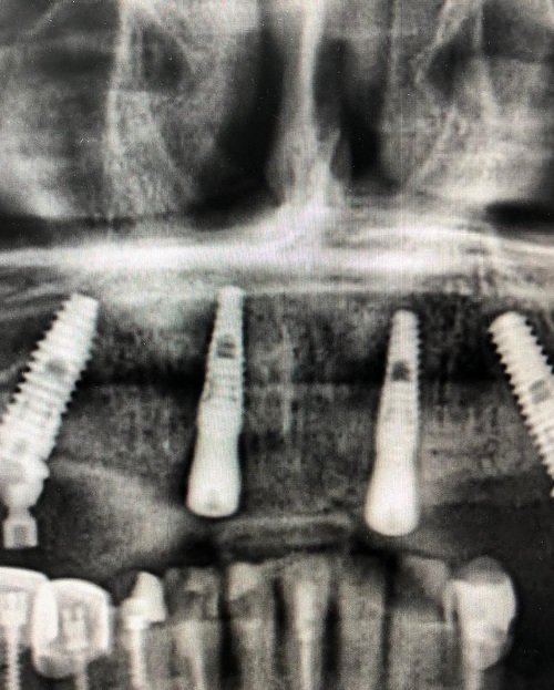
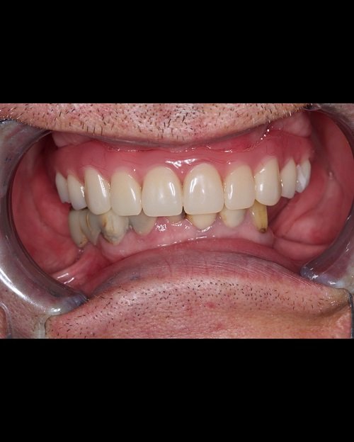
«Все на 4-х имплантатах»
«Все на 4-х имплантатах» - данную методику мы применяем нашим пациентам с полным отсутствием зубов.
Именно эта методика позволяет позволяет в кратчайшие сроки, около 3-5 дней зажить полноценной жизнью.
Стоматологическая клиника «Renessans» - возродим утраченное.
Наш адрес: Краматорск, ул. Дворцовой, 40-А,тел: +380(95)534-45-30, наш сайт : https://renessans.net.ua/
![]() |
![]() |





