Безграничные возможности современной стоматологии!
Безграничные возможности современной цифровой стоматологии!
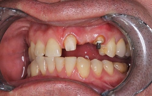
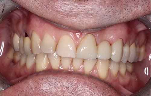
На сегодняшний день можно восстановить целостность улыбки – качественно, безболезненно и главное, быстро!
Стоматологическая клиника Renessans-возродим утраченное.
Мы находимся по адресу: г.Краматорск по уд.Дворцовой, 40-А,тел: +380(95)534-45-30, наш сайт : https://renessans.net.ua/
![]() |
![]() |




