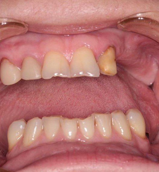
Полное восстановление зубного ряда с помощью имплантатов и металлокерамических коронок
Полное восстановление зубного ряда с помощью имплантатов и металлокерамических коронок
Работа доктора Моторный А.В.




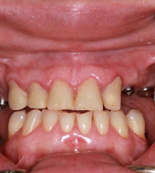
Полное восстановление зубного ряда с помощью имплантатов и металлокерамических коронок
Работа доктора Моторный А.В.



