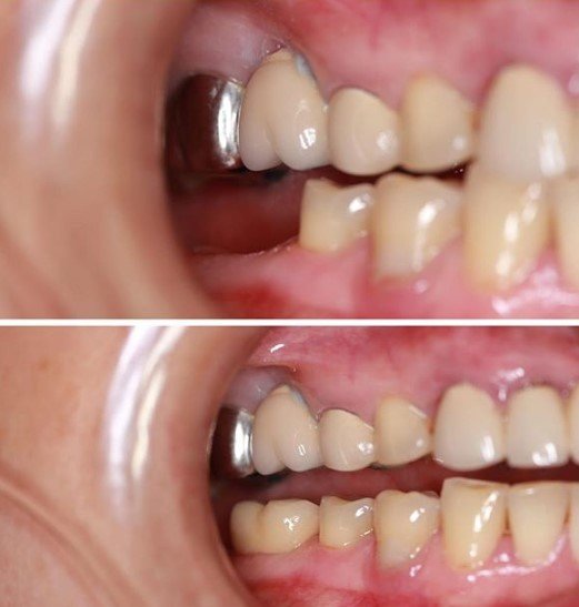
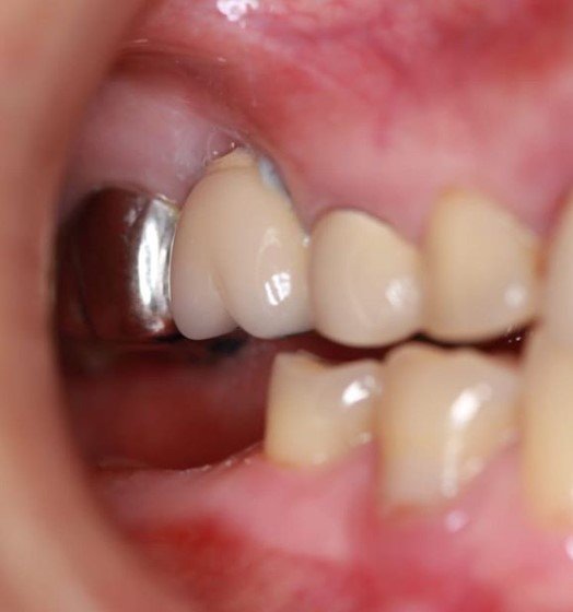
Имплантация - лучшая альтернатива съёмному протезированию .
Имплантация - лучшая альтернатива съёмному протезированию .
Работа доктора Логвинов А.А.
#лечениезубов #протезированиезубов #имплантациязубов #удалениезубамудрости #краматорск #украина #дантист #ортодонтия #пломба #пломбазуба #ренессанс #renessans









