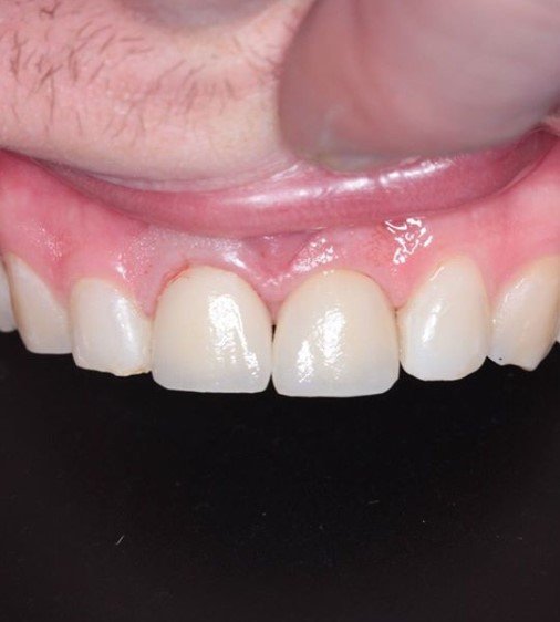
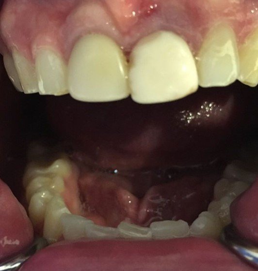
Установка имплантанта и костная пластика.

 

Установка имплантата и костная пластика.