Уважаемые коллеги!
Спешим Вам сообщить о создании в нашем регионе подразделения Ассоциации имплантологов Украины!
Приглашаем всех желающих вступить в...
Коллектив стоматологической клиники «Ренессанс» поздравляет всех со светлым праздником Троицы! Желаем тепла в душе, мира, добра, искренней веры. Пусть Господь...
Обработка происходит с помощью специального эндомотора и машинных инструментов. Именно Эта техника позволяет качественно очистить корневой канал от остатков нерва....
Дорогие клиенты!
Мы открыли наш youtube канал
Скорее заходи и подписывайся чтобы ничего не пропустить!
Стоматологическая клиника «Renessans»
Наш адрес:...
All-on-4 («все на четырех») - прогрессивный протокол имплантации челюсти на 4 имплантах, применяющийся для протезирования зубного ряда при его значительных...
У нас замечательные новости!
Мы обновили сайт клиники! Усовершенствованный дизайн, больше информации об услугах которые мы оказываем, возможно записаться на...
Самые милые и самые заботливые, самые ласковые и самые отважные медицинские сёстры , коллектив врачей клиники @renessans_stomatology поздравляет вас с...
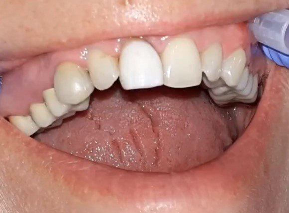
Фронтальные зубы как никогда важны для пациента! Конечно работа с передними зубами сложна и кропотлива! Требует особой тактики ведения. @dr.logvinov...